Hallux rigidus
También conocido como artrosis metatarsofalángica.
El hallux rigidus es una de las alteraciones más comunes del pie y, según varios estudios científicos publicados, afecta aproximadamente al 2-10 % de la población adulta.
Esta condición se caracteriza por la degeneración y el deterioro progresivo de la articulación metatarsofalángica del primer dedo del pie, lo que lleva a una limitación dolorosa del movimiento.
Te explicamos cómo tratarlo.
En cuanto a tratamientos no quirúrgicos del hallux rigidus, estos van enfocados a controlar los síntomas y mejorar la calidad de vida. Rehabilitación y fortalecimiento, medidas de calzadoterapia, plantillas a medida o infiltraciones de distintos tipos, son eficaces para aliviar el dolor y mejorar la función articular.
En aquellos casos en los que las medidas conservadoras ya no son eficaces, se valorará la cirugía mínimamente invasiva del pie, donde son varias las posibilidades quirúrgicas en función del perfil del paciente.
En cuanto a tratamientos no quirúrgicos del hallux rigidus, estos van enfocados a controlar los síntomas y mejorar la calidad de vida. Rehabilitación y fortalecimiento, medidas de calzadoterapia, plantillas a medida o infiltraciones de distintos tipos, son eficaces para aliviar el dolor y mejorar la función articular.
En aquellos casos en los que las medidas conservadoras ya no son eficaces, se valorará la cirugía mínimamente invasiva del pie, donde son varias las posibilidades quirúrgicas en función del perfil del paciente.
OTROS NOMBRES QUE RECIBE EL HALLUX RIGIDUS
Rigidez del primer dedo – Artrosis metatarsofalángica – Artrosis del primer dedo del pie
Hallux limitus – Deformidad del primer dedo – Degeneración articular
¿Qué es un hallux rigidus?
El hallux rigidus es una condición que afecta a la articulación del primer dedo del pie, causando una disminución progresiva del espacio articular y consecuentemente su movimiento.
Esto se debe a la degeneración del cartílago articular, llevando a una limitación funcional y dolor significativo, especialmente durante la marcha y actividades que implican la dorsiflexión del dedo (movimiento del dedo hacia arriba, movimiento imprescindible para caminar o correr).

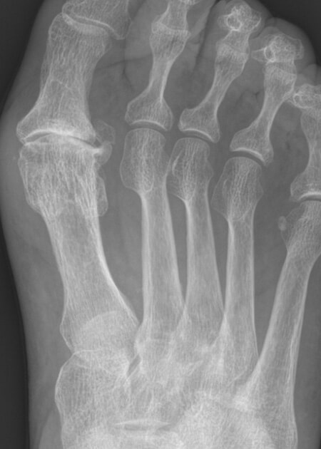
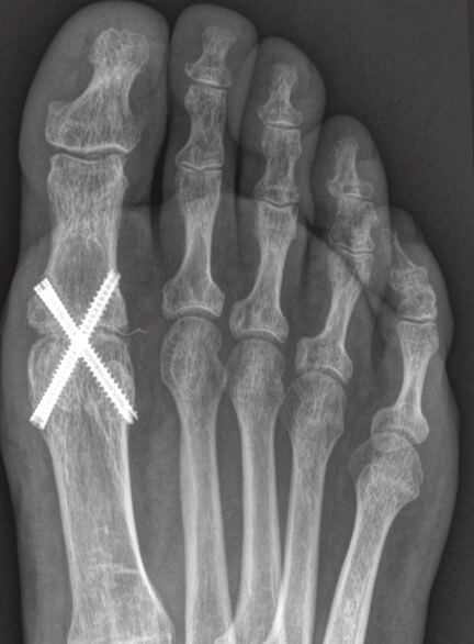
Radiografía de hallux rigidus en pie derecho.
¿Cómo sé si estoy desarrollando un hallux rigidus?
Estos son los principales síntomas del hallux rigidus:
¿Tienes dudas? Consúltanos o solicita cita previa.
¿Por qué aparece el hallux rigidus?
Hay muchos factores que influyen a la hora de desarrollar el hallux rigidus, pero basándonos en los últimos estudios científicos, los
principales motivos son:
¿Por qué aparece el hallux rigidus?
Hay muchos factores que influyen a la hora de desarrollar el hallux rigidus, pero basándonos en los últimos estudios científicos, los
principales motivos son:

¿Cómo se trata el hallux rigidus de manera definitiva?
Muchas personas se preguntan cómo se soluciona el hallux rigidus.
En Centro Atlántico estamos especializados en cirugía mínimamente invasiva del pie, mediante la cual podemos optar por diferentes opciones variando desde técnicas donde se preserve la articulación como la queilectomía o limpieza articular o la descompresión de la articulación hasta procedimientos de fusión articular como la artrodesis, siendo referentes en este tipo de procedimientos a nivel nacional.
La elección del procedimiento depende de la severidad de la condición y las necesidades específicas del paciente.
¿Cómo se trata el hallux rigidus de manera definitiva?
Muchas personas se preguntan cómo se soluciona el hallux rigidus.
En Centro Atlántico estamos especializados en cirugía mínimamente invasiva del pie, mediante la cual podemos optar por diferentes opciones variando desde técnicas donde se preserve la articulación como la queilectomía o limpieza articular o la descompresión de la articulación hasta procedimientos de fusión articular como la artrodesis, siendo referentes en este tipo de procedimientos a nivel nacional.
La elección del procedimiento depende de la severidad de la condición y las necesidades específicas del paciente.
¿Qué debo hacer si creo que tengo un hallux rigidus?
Si experimentamos alguno de los síntomas mencionados, como dolor, rigidez o hinchazón en la articulación del primer dedo, siempre debemos acudir a un podólogo o especialista en pie y tobillo.
Es crucial tomar medidas a tiempo, ya que la progresión de la condición puede llevar a una mayor limitación funcional y necesidad de tratamientos más invasivos.
Es importante destacar que, los tratamientos conservadores tienen como objetivo aliviar los síntomas y parar la evolución de la deformidad, mientras que la intervención quirúrgica tiene el objetivo de resolver la condición de manera definitiva.
¿Qué debo hacer si creo que tengo un hallux rigidus?
Si experimentamos alguno de los síntomas mencionados, como dolor, rigidez o hinchazón en la articulación del primer dedo, siempre debemos acudir a un podólogo o especialista en pie y tobillo.
Es crucial tomar medidas a tiempo, ya que la progresión de la condición puede llevar a una mayor limitación funcional y necesidad de tratamientos más invasivos.
Es importante destacar que, los tratamientos conservadores tienen como objetivo aliviar los síntomas y parar la evolución de la deformidad, mientras que la intervención quirúrgica tiene el objetivo de resolver la condición de manera definitiva.

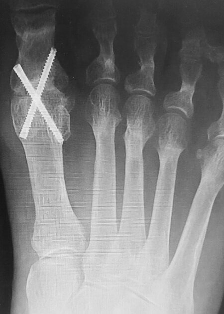
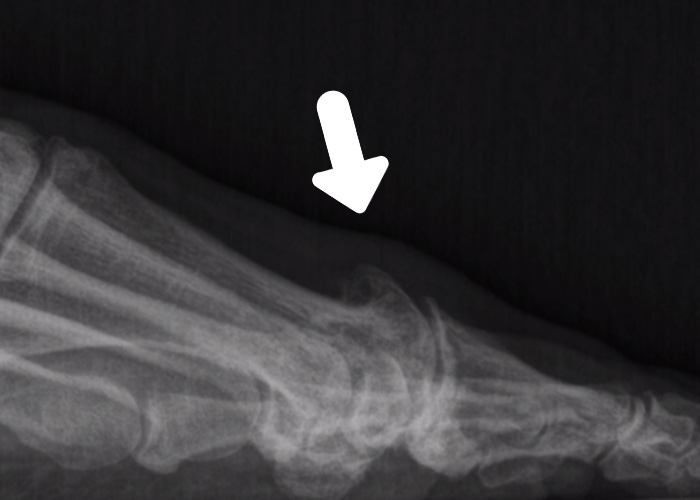
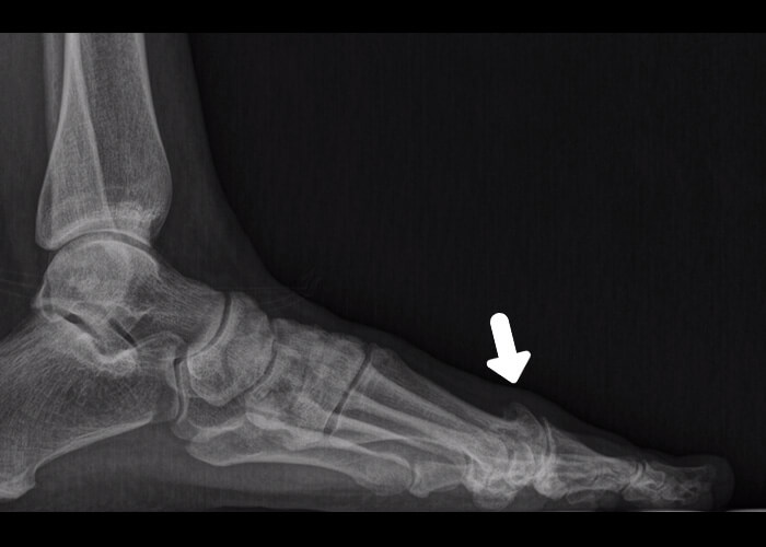
Antes y después
Te mostramos algunos ejemplos de antes y después de resolución de hallux rigidus con cirugía mínimamente invasiva del pie.


 





